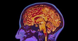
Otak mengungkapkan pilihan sebelum kita menyadarinya, demikian temuan studi
Sebuah studi menunjukkan bahwa kita tidak memiliki kebebasan dalam mengendalikan atas pilihan pribadi kita sendiri daripada yang telah kita pikirkan, dan bahwa aktivitas otak...
Dinosaurus tumbuh subur sebelum asteroid memusnahkannya
Dinosaurus tidak terpengaruh oleh perubahan iklim jangka panjang dan tetap berkembang biak sebelum kepunahannya secara mendadak oleh serangan asteroid.
Para ilmuwan sebagian besar setuju bahwa...
Terobosan mengelas logam pada kaca
Para ilmuwan dari Heriot-Watt University telah berhasil mengembangkan pengelasan logam pada kaca menggunakan sebuah sistem laser yang sangat cepat, sehingga menjadi sebuah terobosan besar dalam industri...
Jamur yang biasanya ditemukan pada kulit mungkin berperan dalam penyakit Crohn
Jamur yang biasa ditemukan di folikel rambut manusia juga berada di usus, di mana ia dapat memperburuk gangguan usus seperti Inflammatory Bowel Disease (IBD)...




























