Apa yang Sudah dan Belum Diketahui Tentang Virus Corona Oleh Para...
Seberapa mematikan dan bagaimana coronavirus bisa menyebar dengan cepat? Kapan gejala akan muncul, dan apakah seorang pasien bisa menyebarkan virus sebelum mereka merasakan gejala...
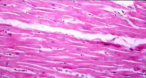
Otot Jantung Buatan Berhasil Dicangkokkan Untuk Pertama Kalinya
Para peneliti dari Osaka University Jepang, mengumumkan keberhasilan mereka dalam melakukan sebuah terobosan baru transplantasi jantung.
Mereka telah mengembangkan sebuah metode baru dalam transplantasi jantung,...
Nanopartikel Menyingkirkan Plak Penyebab Serangan Jantung
Para peneliti telah menemukan suatu nanopartikel yang dapat mengikis penumpukan plak yang bersarang di dinding pembuluh darah. Plak yang terkumpul dapat menimbulkan penyempitan dan...
Gambar Paling Detail dari Permukaan Matahari yang Pernah Terekam Telah Dirilis
Untuk pertama kalinya berbagai gambar yang lebih detail dari permukaan matahari dirilis sebagai hasil dari pengamatan yang telah dilakukan oleh sebuah teleskop surya yang...



























